Plagiomniaceae – bleðilmosaætt
Í eina tíð töldust tegundir þessarar ættar til Mniaceae. Nú hafa þær verið klofnar frá í sérstaka ætt, Plagiomniaceae. Um ættina Mniaceae s.l. (í víðri merkingu) er fjallað hér.
Á Norðurlöndum eru tvær ættkvíslir í þessari ætt. Þær eru tiltölulega auðþekktar. Blöðin eru stór, breið-egglaga, þunn með greinilegt rif og frumurnar eru stórar. Gróhirzlur minna um margt á hirzlur á Bryum tegundum. Af sex tegundum eru gróhirzlur mjög sjaldséðar hjá þremur tegundum og hafa ekki fundizt hjá hinum þremur.
Í flestum tilfellum er auðvelt að greina á milli þeirra tveggja ættkvísla (Plagiomnium og Pseudobryum), sem hér vaxa. Pseudobryum er hvorki með jaðar né tennur og frumur eru aflengri. Engu að síður er greint á milli þeirra í lyklinum að Plagiomnium.
Plagiomnium T. J. Kop. – bleðilmosar
Hér á landi vaxa sex tegundir af þessari ættkvísl, en til eru að minnsta kosti 25 tegundir um víða veröld. Plöntur eru uppréttar og stönglar grænir, oft ríkulega vaxnir rætlingum. Blöð eru stór og breið, egglaga til nærri kringlótt með greinilegt rif, sem er slétt á baki. Þau eru jöðruð af 1-5 mjóum, löngum frumum, sem eru ávallt eitt frumulag á þykkt. Blaðrönd er tennt og tennur einfaldar. Blaðfrumur eru stórar og breiðar. Geldplöntur geta verið jarðlægar eða bogsveigðar og líta þá út sem liggjandi mosar en ekki uppréttir. Þegar rætt er um blöð er átt við rök blöð, nema annað sé tekið fram.
Gróhirzlur hafa aðeins fundizt á þremur tegundum og eru fremur sjaldséðar.
Lykill að tegundum Plagiomnium og Pseudobryum:
1 Blöð hvasstennt niður að blaðmiðju. Blaðlögun tigullaga (blöð breiðust um miðju) ………….. P. cuspidatum
1 Blöð tennt niður fyrir blaðmiðju eða blöð ótennt. Blöð breið-egglaga eða tungulaga ……. 2
2 Blöð niðurhleypt á ófrjóum sprotum …………………………………………………… 3
2 Blöð ekki niðurhleypt á ófrjóum sprotum ………………………………………………. 5
3 Blöð mjó-tungulaga, rök blöð bylgjótt ………………………………………………… P. undulatum
3 Blöð breið-egglaga, rök blöð slétt (þurr blöð bylgjótt) ………………………………… 4
4 Einkynja. Niðurhleypt rönd svo breið og löng, að blöð eru kúpt. Breidd frumna 14-35 µm, blaðtennur fremur stuttar og vísa fram …. P. elatum
4 Tvíkynja. Niðurhleypt rönd frekar mjó, svo að blöð eru slétt. Breidd frumna 30-60 µm, blaðtennur stórar og vísa oft þvert …. P. medium
5 Jaðar enginn eða ógreinilegur. Frumur aflangar í skáröðum, um 4x lengri en breiðar. Stöngull svartur, sjaldan með rætlinga …… Pseudobryum cinclidioides
5 Jaðar greinilegur, 3-5 frumuraðir, eitt frumulag á þykkt. Frumur breiðar, ekki í skáröðum, um 2-3x lengri en breiðar. Stöngull grænn, oft þakinn rætlingum …… 6
6 Einkynja. Stöngull oft þéttvaxinn rætlingum langt upp. Frumur við rif áberandi stærri en við blaðjaðar. Geldsprotar ekki jarðfastir í endann ……. P. ellipticum
6 Tvíkynja. Stöngull án rætlinga ofan til. Frumur við rif ekki áberandi stærri en við blaðjaðar. Geldsprotar jarðfastir í endann……. P. rostratum
Plagiomnium cuspidatum (Hedw.) T. J. Kop. — brekkubleðill
Frjóar plöntur uppréttar, dökk- eða gulgrænar, allt að 5 cm á hæð. Geldplöntur jarðlægar eða bogsveigðar. Blöð eru allt að 4 mm á lengd, jafnan tigullaga (geta þó verið egglaga til kringlótt), með hvassan odd og rif sem gengur ýmist fram í blaðenda eða endar rétt þar fyrir neðan. Jaðar 2-4 frumulög á breidd, grænn eða gulleitur. Blaðrönd hvasstennt niður að blaðmiðju. Blöð niðurhleypt og nær ræman oft langleiðina niður að næsta blaði. Kvenhlífarblöð eru stór og breið.
Frumur í blaði hringlaga, sexhyrndar, frumuveggir þykkir í hornum. Plöntur eru tvíkynja og gróhirzlur fremur sjaldséðar.
Tegundin vex í grónu landi, í votlendisþúfum og á rökum klettum og hraunum. Myndar oft samfelldar breiður.
Plagiomnium elatum (Bruch & Schimp.) T. J. Kop. — deiglubleðill
Plöntur ljós- eða gulgrænar, allt að 10 cm á hæð. Frjóar plöntur ætíð uppréttar en geldplöntur ýmist uppréttar eða bogsveigðar. Blöð eru egglaga, öfugegglaga eða aflöng, snubbótt og broddydd, geta verið bylgjótt. Blöð eru jöðruð löngum og mjóum frumum, 3-5 frumuraðir á breidd, tennur ná niður að blaðgrunni og eru úr 1-3 frumum. Blöð eru langt niðurhleypt og ræma er breið.

Frumur eru fremur mjóar og lengdin er um þrisvar sinnum breiddin, aflangt sexhyrndar eða ferhyrndar, nokkru breiðari við rif en blaðjaðar.
Vex strjált í ýmiss konar votlendi.
Plagiomnium ellipticum (Brid.) T. J. Kop. — mýrableðill
Þetta er algengasta tegund ættkvíslarinnar. Auðvelt er að þekkja hana úti í náttúrunni á því, að blöð eru lítið sem ekkert niðurhleypt. Plöntur eru allt að 12 cm á hæð, oftast ljós- eða dökkgeænar. Rætlingar ná jafnan langt upp eftir st-ngli. Geldplöntur eru uppréttar eða bogsveigðar, jarðlægar en ekki fastar í endann. Blöð egglaga, snubbótt og broddydd. Jaðar 3-5 frumuraðir á breidd; tenntur að blaðgrunni, oftast úr aðeins einni frumu (sjaldan tveimur), tennur smáar. Rif nær fram í blaðenda eða endar litlu neðar.

Frumur eru sexhyrndar eða aflangar, lengdin er 2 eða 3 sinnum breidd, geta verið ferhyrndar, í skáröðum út og upp frá rifi.
Plöntur eru einkynja og gróhirzlur mjög sjaldséðar. Frjóar plöntur algengar og karlkynhirzlur áberandi á sprotaenda.
Vex í alls konar votlendi, algeng um land allt.

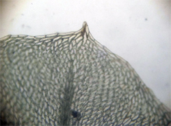
Mynd 1
Mynd 2
Plagiomnium medium (Bruch & Schimp.) T. J. Kop. — gjótubleðill
Frjóar plöntur uppréttar eða bogsveigðar, allt að 5 cm á hæð, dökk- eða gulgrænar. Geldplöntur uppréttar eða bogsveigðar, ekki fastar í endann. Blöð aflöng, egglaga eða egglensulaga, snubbótt og broddydd. Rif nær jafnan fram í blaðenda eða enda rétt fyrir neðan. Blaðrönd niðurhleypt, mun lengra á geldplöntum en frjóum. 2-4 raðir af frumum jaðra blað, tennur hvassar og mjög stórar úr einni eða tveimur frumum. Um blaðmiðju standa tennur oft þvert út frá blaðrönd.
Frumur eru ferhyrndar eða óreglulega hringlaga sexhyrndar, ekki í skáröðum. Veggir þunnir og holóttir, með hornhornþykkningum, sem er gott einkenni til ess að aðskilja þessa tegund frá P. elatum.
Plöntur eru tvíkynja; karl- og kvenkynhirzlur eru í sama knappi á stöngulenda. Hefur ekki fundizt hérlendis með gróhirzlur.
Vex á jarðvegi undir rökum klettum og hraunum. Aðeins fundin á fáum stöðum á landinu.
Plagiomnium rostratum (Schrad.) T. J. Kop. — hellableðill
Frjóar plöntur uppréttar, grænar eða dökkgrænar og vart nema 2 cm á hæð. Geldplöntur jarðlægar og mun lengri; festa sig með rætlingum íendann; sprotar oft tvíhliða. Blöð nærri kringlótt, breiðegglaga eða aflöng, broddydd. Rif nær fram í blaðenda eða her um bil. Jaðar gulleitur úr 2-5 löngum og mjóum frumuröðum. Tennur smáar og sljóar úr aðeins einni frumu hver. Frumur hringlaga eða óreglulega sexhyrndar, þá um helmingi lengri en breiðar. Plöntur tvíkynja en hafa ekki fundizt með gróhirzlur hér á landi.
Sjaldgæf tegund, sem vex í rökum hraunskútum og klettum og í gljúfrum.
Plagiomnium undulatum (Hedw.) T. J. Kop. — fagurbleðill
Plöntur uppréttar, allt að 10 cm á hæð, grænar eða gulbrænar, geta verið greinóttar. Geldplöntur uppréttar eða jarðlægar, bogsveigðar. Plantan er með neðanjarðar renglur og upp af þeim vaxa nýir sprotar. Blöðin eru bylgjótt og útstæð; geta verið allt að 12 mm á lengd, mjó-tungulaga. Þau eru snubbótt en broddydd. Blaðrönd er niðurhleypt; jaðar er greinilegur úr 3-5 frumuröðum; tenntur niður að blaðgrunni; tennur hvassar. Rif nær fram í blaðodd. (Snemma sumars geta ófullvaxin blöð minnt á aðrar tegundir.)

Frumur eru sexhyrndar, álíkar á lengd og breidd, fremur smáar, 10-15 µm.
Plöntur eru einkynja. Karlplöntur algengar og áberandi með stjörnulaga útstæð blöð á sprotaenda, sem minnir á pálmatré; karlkynhirzlur dökkgrænar. Gróhizlur hafa aldrei fundizt hér á landi.
Vex á jarðvegi á rökum stöðum. Vex einkum um sunnan- og vestanvert landið.

Pseudobryum (Kindb.) T. J. Kop. – skjallmosar
Tvær tegundir teljast til ættarinnar og vex önnur þeirra á Norðurlöndum. Stöngull er svartur og jafnan án rætlinga. Blöð eru stór og breið, með greinilegu rifi; jaðar er enginn (eða mjög ógreinilegur) og blöð heilrend. Hefur ekki fundizt með gróhirzlur.
Pseudobryum cinclidioides (Hübener) T. J. Kop. — skjallmosi
Plöntur þessar líkjast mjög Plagiomnium tegundum, en þessi tegud er hvorki með greinilegar jaðarfrumur né tennta blaðrönd, að auki er hún með svartan stöngul og sjaldan með rætlinga. Plöntur eru uppréttar, lítið eða ekkert greindar. Blöð eru aflöng, breð-egglaga eða öfugegglaga, ekki niðurhleypt, með langt, greinilegt rif. Þau eru bogadregin en þó oftar með stuttan brodd, heilrend en geta þó verið örlítið tennt.

Frumur eru aflangar, um fjórum sinnum lengri en breiðar og í greinilegum skáröðum. Veggir þunnir og holóttir, engar hornþykkingar. Við jaðar eru 2 eða þrjár frumuraðir af lengri og mjórri frumum en þær mynda mjög ógreinilegan jaðar.
Plöntur einkynja. Hefur ekki fundizt með gróhirzlur.
Vex svo að segja um land allt í votlendi.
Helztu heimildir:
Tomas Hallingbäck et al.: Bladmossor: Kompaktmossor-kapmossor. ArtDatabanken, Sveriges lantbruksuniversitet. Uppsala 2008
Bergþór Jóhannsson: Íslenskir mosar. Fjölrit Náttúrufræðistofnunar n:r 26. Janúar 1995
Elsa Nyholm, 1993: Illustrated Flora of Nordic Mosses. Fasc. 3. Copenhagen and Lund.
A.J.E. Smith, 2004: The Moss Flora of Britain and Ireland. Cambridge University Press
Ágúst H. Bjarnason, 2010: Greiningarlykill að ættkvíslum íslenzkra blaðmosa (Musci) ásamt tegundaskrá. Fjölrit Vistfræðistofu n:r 40. Reykjavík
Smásjármyndir eru teknar beint í gegn um linsu á smásjá með Canon PowerShot S90.
ÁHB / 23. nóv. 2013
